Effortless Smiles in Aberdeen

Expert Orthodontics with Fewer Visits!

No one has to know

No one has to know

With Invisalign® treatment, your smile journey can be our secret. Straighten your smile with barely there clear aligners.

Invisalign® for adults
Treatment that suits your schedule

Treatment that suits your schedule

Invisalign® treatment won’t get in the way of meals, events or after-school activities.

Invisalign® for teens
Set your childs smile up for success

Set your child’s smile up for success

Start early to save time and money on your child’s treatment with Invisalign® First.

Invisalign® for kids
Its never too late to achieve your dream smile

It’s never too late to achieve your dream smile

Whether you’re looking for a discreet way to straighten your smile or a removable option for important events, we offer a variety of premium brace options to suit your lifestyle and smile goals.

Braces for adults
Lets get that smile on track

Let’s get that smile on track

Aberdeen Orthodontics offers a variety of cutting-edge brace options for kids and teens. From discreet clear braces to removable ones, there is something for everyone to smile about.

Braces for kids
Straighten your smile on the NHS

Straighten your smile on the NHS!

The NHS offers free metal braces to children who present a clear orthodontic need. Learn more here!

NHS

Dental Monitoring

Simply the best way to stay aligned

Imagine straightening your smile from the comfort of home. Thanks to the revolutionary Dental Monitoring app, it’s now possible!

Dental Monitoring
Simply the best way to stay aligned
A new smile for only £160.11 / a month!

A new smile for only £160.11 / a month!

At Aberdeen Orthodontics, we want to ensure all our patients can afford their dream smile.

Zero deposit up to 36 months

Zero deposit up to 36 months

Monthly payments up to 12 months

Monthly payments up to 12 months

0 interest financing

0% interest financing

100 bespoke treatment plan

100% bespoke treatment plan

Costs

Why ChooseAberdeen Orthodontics?

Here are just some of the reasons our patients trust us with their smiles:

Skip long NHS waits
Skip long NHS waits
Variety of payment options
Variety of payment options
30+ years of experience
30+ years of experience
Remote treatment monitoring
Remote treatment monitoring
Free and easy parking
Free and easy parking
Not in the LEZ Zone
Not in the LEZ Zone
We provide legendary customer service

Meet the team

We provide legendary customer service

From honing our expertise to providing unparalleled care, our commitment to excellence is rooted in this: every patient deserves something real to smile about.

Meet our team

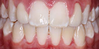
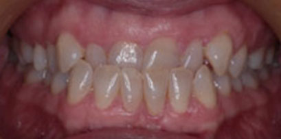
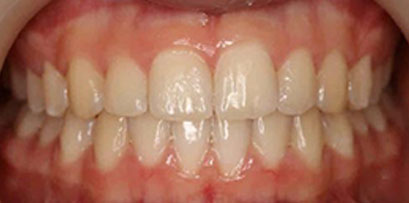
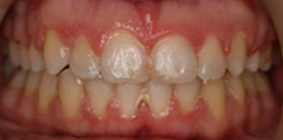
Before and after

Here are some of the happy patients we’ve worked with

See what premium orthodontic care and cutting-edge technologies can do for a smile!

Before & Afters
Before & Afters
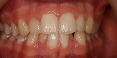
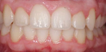
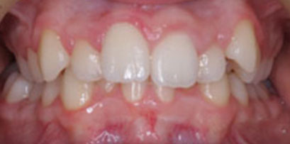
Gemma
Gemma
Dental nurse | 24-25 years old

Metal fixed braces for 18 months

Before & Afters
Before & Afters
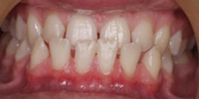
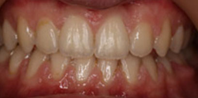
Kanstantsin
Kanstantsin
42 years old

Invisalign treatment for 25 months

Before & Afters
Before & Afters
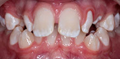
Ben
Ben
15 years old

Invisalign treatment for 10 months

Before & Afters
Before & Afters
Beatrice
Beatrice
46 years old

Invisalign treatment for 36 months

Before & Afters
Before & Afters
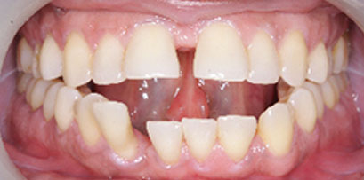
Katrina
Katrina
28 years old

Katrina had Invisalign treatment for 31 months

Before & Afters
Before & Afters
David
David
School Pupil | 14-16 years old

NHS patient and had metal fixed braces for 2 years 5 months

Before & Afters
Before & Afters
Rebecca
Rebecca
School Pupil | 14-18 years old

Functional appliance for 11 months and metal fixed for 11 months
 

Before & Afters
Before & Afters
Ryan
Ryan
School Pupil | 13-15 years old

Functional appliance for 11 months and metal fixed braces for 12 months

Before & Afters
Before & Afters
Lynne
Lynne
Estate agent | 47-50 years old

Upper clear and lower metal braces for 2 years 8 months

Before & Afters
Before & Afters
Aidan
Aidan
School Pupil | 11-16 years old

Functional brace first for 16 months then metal fixed braces for 15 months
 

Before & Afters
Before & Afters
Louise
Louise
School pupil | 1st stage: 9-16 years old | 2nd stage: 14-16 years old

Upper removable braces for stage 1
Metal fixed braces for stage 2

Before & Afters
Before & Afters
gayle
gayle
Childminder | 31-33 years old

Gayle had metal fixed braces this took 21 months

Start your smile journey today!

BOOK A CONSULTATION

Start your smile journey today!

Book a consultation with the team at Aberdeen Orthodontics to see what we can do for your smile.

Book your consultation